انواع الاسنان التي تحتاج الى تقويم كثيره و تختلف شدتها فالتقويم يمكنه علاج مشاكل اعوجاج الاسنان، تزاحمها، المسافات الكبيرة بين الأسنان او مشاكل في عضّة الفم بتضايقك في تفاصيل الكلام و الهضم و ضحكتك بتضايقك فعيادات كيور وفرت لك دكاتره متخصصين في تقويم و تجميل الاسنان بخبره اكثر من ١٢ سنة تقدر تثق في عيادات كيور بفريق كامل من الاطباء المتخصصين لمساعدتك .
اعرف المشكلات التي يعالجها تقويم الأسنان
تقويم الأسنان يصحح مجموعة متنوعة من المشاكل التي تؤثر على مظهر ووظيفة الأسنان والفكين. إليك بعضها:
- تكدس الأسنان.
- الأسنان المعوجة.
- الفجوات بين الأسنان.
- تغطي الأسنان العلوية الأمامية السفليه.
- تجاوز الأسنان الأمامية العلوية عن السفليه.
- العضة المعكوسة الأسنان السفلية متقدمة بشكل كبير عن الأسنان العلوية.
- العضة المفتوحة حيث لا تتلامس الأسنان الأمامية العلوية والسفلية عند الإطباق.
- إعادة ترتيب الأسنان لتوفير مساحة أو لإغلاق الفجوات الناجمة عن فقدان الأسنان.
- الانحرافات في الفكين العلوي أو السفلي، والتي يمكن أن تسبب عدم التناسق في الوجه وصعوبة في الوظائف الفموية.
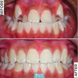
تجربتي مع تقويم الأسنان عيادات مدينه نصر
انواع الاسنان التي تحتاج الى تقويم
تقويم الأسنان هو علاج ضروري للعديد من الحالات التي تؤثر على صحة ووظيفة وجمال الأسنان فيما يلي أبرز أنواع الأسنان التي قد تحتاج إلى تقويم:
الأسنان المتزاحمة:
- يحدث تكدس عندما لا يتوفر مكان كافٍ لجميع الأسنان داخل الفم، مما يؤدي إلى تزاحمها والتداخل فيما بينها، وهي من أشد انواع الاسنان التي تحتاج الى تقويم و يعالجها بشكل فعال.
الأسنان المتباعدة:
- الفجوات بين الأسنان نتيجة لنقص في الأسنان أو بسبب الحجم الزائد للفك يساعد التقويم في سد هذه الفجوات وتحسين الإطباق.
العضة الزائدة (Overbite):
- تحدث عندما تتداخل الأسنان الأمامية العلوية بشكل مفرط على الأسنان السفلية، حيث التقويم يساعد في تحريك الأسنان والفك لتصحيح هذه العلاقة.
العضة المعكوسة (Underbite):
- يحدث العضة المعكوسة عندما تكون الأسنان الأمامية السفلية متقدمة على الأسنان الأمامية العلوية، يتم تصحيح هذه الحالة باستخدام التقويم لتحريك الأسنان والفك السفلي إلى الخلف.
العضة المفتوحة (Open Bite):
- تحدث العضة المفتوحة عندما لا تتلامس الأسنان الأمامية أو الجانبية العلوية مع السفلية عند الإطباق، يمكن للتقويم تصحيح هذه الفجوات وتحسين وظيفة الإطباق.
العضة العميقة (Deep Bite):
- العضة العميقة تحدث عندما تغطي الأسنان العلوية معظم الأسنان السفلية، التقويم يساعد في تعديل العلاقة بين الأسنان العلوية والسفلية.
الأسنان المائلة أو الملتوية:
- قد تكون الأسنان في وضع غير طبيعي، مائلة أو ملتوية، يساعد التقويم في تعديل موضعها للحصول على ابتسامة متناسقة ووظيفة صحية للفم.
الأسنان المنحصرة (Impacted Teeth):
- في بعض الأحيان، قد لا تظهر الأسنان (مثل الأنياب) بشكل طبيعي وتبقى منحصرة في العظم، يتم توجيهها إلى مكانها الصحيح.
المشاكل الفكية:
- قد تكون مشاكل الإطباق ناتجة عن مشاكل في نمو وتطور الفك العلوي أو السفلي، يستخدم التقويم والأجهزة الإضافية لتوجيه نمو الفكين وتحقيق توازن أفضل.
عدم تناسق الأسنان:
- عندما تكون الأسنان غير متناسقة أو هناك عدم توازن بين الأسنان العلوية والسفلية، فهي من أسرع انواع الاسنان التي تحتاج الى تقويم و تستجيب له.
مميزات اختيار عيادات كيور للأسنان
- مقومات المتوفرة لدينا تشير إلى جودة عيادات كيور لزراعة الأسنان:
- لدينا أطباء و الفريق الطبي خبرة وتأهيل عاليين في مجال زراعة الأسنان
- توفير الموقع والإمكانيات معنا تقدر تصل بكل سهولة لاقرب فرع لك فروعنا في كل مكان .
- المركز يستخدام أحدث التكنولوجيا والمعدات لضمان جودة الخدمة ودقة العمليات.
- يمكنك الاطلاع علي تجارب المرضى السابقين مرجعًا جيدًا لقياس جودة الخدمة ورضاهم .
- ان نقدم خدمات متعددة للأسنان لضمان الوصول الي انسب علاج فعال لحالتك مع دكتور متخصص لكل اجراء تجميلي .
- توضيح الخطة العلاجية و التكلفة، و يتفاعل بشكل فعّال مع مرضاه.
- تقييمات حالتنا السابقين تجعلك تتحقق من سجل نجاح العيادة اطلع علي حالاتنا .
- يتمتع عيادتنا بمعايير عالية من حيث النظافة والسلامة لضمان بيئة آمنة وصحية للمرضى.
أنواع تقويم الأسنان الأكثر فاعليه
1. تقويم الأسنان التقليدي (المعدني)
- الوصف: يتكون من دعامات معدنية متصلة بأسلاك تُثبت على الأسنان.
- المزايا: الأكثر فعالية في تصحيح جميع انواع الاسنان التي تحتاج الى تقويم، ويعتبر الأقل تكلفة.
- العيوب: يكون واضحاً ومرئياً، مما قد يؤثر على مظهر الابتسامة.
2. تقويم الأسنان السيراميكي
- الوصف: يشبه التقويم التقليدي لكنه يستخدم دعامات من السيراميك تكون بلون الأسنان.
- المزايا: أقل وضوحاً من التقويم المعدني، ويعطي مظهراً أكثر جمالية.
- العيوب: أكثر تكلفة من التقويم المعدني، والدعامات السيراميكية قد تكون أقل متانة.
3. تقويم الأسنان الداخلي
- الوصف: يتم تثبيت الدعامات والأسلاك على الجانب الداخلي للأسنان، مما يجعلها غير مرئية.
- المزايا: غير مرئي تماماً من الخارج، مما يحافظ على مظهر الابتسامة.
- العيوب: صعب التنظيف ويتطلب عناية خاصة، وقد يكون غير مريح في البداية، كما أنه أكثر تكلفة.
4. التقويم الشفاف (الإنفيزالاين)
- الوصف: يتكون من مجموعة من القوالب الشفافة القابلة للإزالة والتي يتم تغييرها كل فترة لتعديل الأسنان تدريجياً.
- المزايا: غير مرئي تقريباً، ويمكن إزالته أثناء الأكل والتنظيف.
- العيوب: يتطلب التزاماً كبيراً من المريض بارتدائه لعدد ساعات معينة يومياً، كما أنه قد يكون مكلفاً أكثر من الأنواع التقليدية.
5. تقويم الأسنان الذاتي الربط
- الوصف: مشابه للتقويم التقليدي لكنه يحتوي على آلية خاصة لربط الأسلاك بالدعامات دون الحاجة إلى أربطة مطاطية.
- المزايا: يقلل من الاحتكاك بين الأسلاك والدعامات، مما قد يقلل من مدة العلاج، وأسهل في التنظيف.
- العيوب: قد يكون أكثر تكلفة من التقويم التقليدي، ومرئي مثل التقويم المعدني.
6. التقويم المتحرك
- الوصف: يشمل أجهزة قابلة للإزالة تستخدم لتصحيح مشاكل بسيطة مثل تحريك سن واحد أو مجموعة صغيرة من الأسنان.
- المزايا: يمكن إزالته بسهولة، مما يسهل التنظيف والعناية بالفم.
- العيوب: غير مناسب للحالات المعقدة، ويحتاج إلى التزام المريض بارتدائه لفترات طويلة لتحقيق النتائج المرجوة.
7. التقويم الشفاف القابل للإزالة (Clear Aligners)
- الوصف: عبارة عن سلسلة من قوالب شفافة مخصصة يتم ارتداؤها لفترة معينة قبل الانتقال إلى المجموعة التالية.
- المزايا: غير مرئي تقريباً، ويمكن إزالته لتناول الطعام والعناية بالأسنان.
- العيوب: يتطلب التزاماً كبيراً بارتدائه، ولا يناسب جميع انواع الاسنان التي تحتاج الى تقويم، وغالباً ما يكون أكثر تكلفة.
متى يتعذر علاج تقويم الاسنان
يوجد بعض الحالات التي قد يتعذر فيها علاج تقويم الاسنان ومنها:
- فقد الكثير من الأسنان
- وجود انحسار شديد في اللثة
- وجود فقدان العظم
افضل عيادات اسنان في مدينه نصر
- عيادات كيور
- الخدمات: تقويم , زراعة الاسنان , تركيبات , تبييض , حشوات
- العنوان:مدينة نصر، مكرم عبيد، 78 عمارة الاسيوطى، الدور الثالث
- أرقام التواصل: 01032737347
- مميزات: تتمتع العيادة بأفضل اسعار في مصر
عيادات أسنان دكتور خالد ماهر
- 6 أكتوبر : 6 أكتوبر، دولفين مول، الدور الثاني
- التجمع الخامس : التجمع الخامس، ميديكال بارك بريميير، الدور الرابع
- المعادي : المعادي، 7/2 شارع النصر، المعادي الجديدة، فوق كافيه سيلانترو
- مصر الجديدة : 61 شارع ابراهيم اللقاني – امام سينما روكسى – الدور الثالث – مصر الجديدة
- المهندسين : المهندسين، 5 شارع جامعة الدول، ميدان سفنكس، بجوار مول الكمبيوتر ، الجيزة
- مدينة نصر : مدينة نصر، مكرم عبيد، 78 عمارة الاسيوطى، الدور الثالث

