بدائل تبييض الاسنان وافضلها فاعليه تجعل ابتسامتك أكثر إشراقًا وجاذبية لتعطيك ثقه في حياتك اليوميه تؤثر بشكل أيجابي علي جوده حياتك كامله وتزيد من ثقتك بنفسك إذا كنت تعاني من تصبغات، تشققات، أو فراغات بين الأسنان، فإن الفينير يمنحك مظهراً طبيعياً وجميلاً فوراً بأسنان مصممة خصيصًا لتناسب وجهك وابتسامتك، ستشعر بثقة أكبر في كل مرة تبتسم بها احصل على ابتسامة أحلامك اليوم، واستمتع بمظهر مثالي يدوم لسنوات طويلة.
الحالات التي يلائمها تبييض الأسنان
تبييض الأسنان يمكن أن يكون خيارًا ممتازًا لعدة حالات تتعلق بصحة وجمال الأسنان لكن من المهم أن يكون لديك فكرة واضحة عن الحالات التي يلائمها تبييض الأسنان:
- الأسنان الصفراء أو البنية لمن يعاني من تصبغات ناتجة عن الأطعمة والمشروبات مثل القهوة والشاي.
- البقع السطحية فهو فعال في إزالة البقع الناتجة عن التدخين أو الأطعمة الملونة.
- تحسين عام للون الأسنان للأشخاص الذين يرغبون في توحيد لون أسنانهم وجعلها أكثر جاذبيه.
- تصبغات ناتجة عن الأدوية التي تؤثر علي أسنانهم مثل المضادات الحيوية.
- تحسين تجميلي قبل المناسبات مثل حفلات الزفاف والمناسبات المهمة للحصول علي ضحكه مميزه.
- بعد العلاج الترميمي للأسنان يساعد في تحقيق توازن لون الأسنان بعد الحشوات أو التيجان.
تقدر تثق في عيادات كيور لتجميل و تبييض الأسنان بخبره دكاتره متخصصين لمساعدتك .
بدائل تبييض الاسنان الأفضل

نتائج فينير الأسنان المميزه في عياده كيور
1-أفضل بدائل تبييض الاسنان ” فينيرز الأسنان “:
- شكل جذاب يعطي مظهرًا مشابهًا للأسنان الطبيعية من حيث اللون والملمس.
- تعالج مشاكل الأسنان ولا تتطلب إزالة كمية كبيرة من مينا الأسنان.
- تفتيح اللون تغطي تصبغات الأسنان والعيوب، مما يوفر مظهرًا جذابًا.
- قوة تحمل تتمتع بمتانة عالية، مما يجعلها مقاومة للتكسر والخدوش.
- يتم يمكن تصميمها لتناسب شكل وحجم الأسنان الفردية، مما يوفر نتائج مخصصة.

تجميل و زراعه الاسنان في عيادات كيور
2-” زراعه الأسنان ” أقوي بديل لفقدان الأسنان :
- تُعيد الزراعة القدرة على المضغ والكلام بشكل طبيعي، مما يُحسن من جودة الحياة.
- شكل طبيعي جذاب يتشابه مع الأسنان الطبيعية في الشكل واللون، مما يوفر مظهرًا جذابًا.
- بدائل تبييض الاسنان الذي يتميز بطول العمر إذا تم الاعتناء بها بشكل صحيح، يمكن أن تدوم الزرعات مدى الحياة، مما يجعلها استثمارًا جيدًا.
- تحسين الصحة الفموية تمنع فقدان العظم في الفك الناتج عن فقدان الأسنان، مما يُحافظ على هيكل الفم.
- راحة الاستخدام لا تحتاج الزراعة إلى إزالة أو رعاية خاصة كما هو الحال مع الأطقم المتحركة، مما يجعلها خيارًا مريحًا.

تجربتي مع جسر الأسنان عيادات كيور
3-تيجان و جسور الأسنان
- دعم قوي توفر حماية شاملة للأسنان التالفة، مما يساعد في استعادة الوظيفة الطبيعية.
- تحسين المظهر تُعيد الشكل الجمالي للأسنان المفقودة أو التالفة.
- التحمل تُعتبر قوية ومقاومة للضغط، مما يجعلها خيارًا جيدًا للأسنان التي تتحمل ضغط المضغ.
- متاحة بأنواع مختلفة مثل الخزف، المعادن، والزيركونيا، مما يوفر خيارات جمالية وفعالة.
- حل دائم حيث تدوم لفترة طويلة مع العناية المناسبة، مما يجعلها استثمارًا جيدًا.

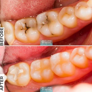
4-حشوات التبييض التجميله
- الحشوات التجمليه تُستخدم لإصلاح الأسنان المتصبغة، مما يوفر مظهرًا أكثر جاذبية.
- تخصيص الألوان يمكن تخصيص لون الحشوة لتتناسب مع لون الأسنان الطبيعية.
- يُعتبر إجراءً سريعًا وغير معقد، مما يُقلل من القلق لدى المرضى.
- تُعيد الوظيفة الطبيعية للأسنان، مما يساعد في تحسين القدرة على المضغ.
- مرونة العلاج حيث يستخدام كحل مؤقت أو دائم حسب احتياجات المريض.
أستشير طبيب متخصص مجانا في الطريقه الأنسب لعلاج أسباب اصفرار الأسنان
ما هو تأثير تبييض الأسنان عليها وهل يدوم
تأثير تبييض الأسنان:
- تحسين المظهر: تبييض الأسنان يمكن أن يعزز من جمال ابتسامتك ويجعلها تبدو أكثر إشراقًا وتجانسًا.
- زيادة الثقة بالنفس: الابتسامة الأكثر بياضًا قد تعزز من شعورك بالثقة بالنفس وتزيد من رضاك عن مظهرك.
- إزالة التصبغات: يزيل البقع والتصبغات السطحية الناتجة عن الأطعمة والمشروبات والتدخين.
مدة دوام نتائج تبييض الأسنان:
- مدة النتائج: يمكن أن تستمر من عدة أشهر إلى عدة سنوات، اعتمادًا على نمط حياتك، عاداتك الغذائية، وكيفية العناية بأسنانك بعد التبييض.
- الاهتمام الشخصي: فتنظيف الأسنان بانتظام وتجنب العوامل التي تسبب التصبغ يمكن أن يساعد في إطالة مدة البياض.
الأنواع المختلفة لتبييض الأسنان
تبييض الأسنان بجهاز الزوم
تبييض الأسنان بالجل المنزلي
تبييض الأسنان بشرائط التبييض او بالأقلام التبييض
تبييض الأسنان للتصبغات الداخلية
تبييض الأسنان باستخدام معجون التبييض
ما هو الأنسب لك التبييض أم بدائله
تبييض الأسنان مناسب للتصبغات اما مشاكل الأسنان الأخري الأفضل بدائل تبييض الاسنان
- تبييض الأسنان:
- الأنسب لمن: الأشخاص الذين يعانون من تصبغات أو تغير لون الأسنان بسبب الأطعمة، المشروبات، أو التدخين، ويريدون تفتيح لون أسنانهم بشكل طبيعي.
- الفائدة: حل غير جراحي، سريع، ويُظهر النتائج بشكل فوري.
- فينير الأسنان:
- الأنسب لمن: الأشخاص الذين لديهم مشاكل تجميلية خفيفة مثل تشققات، فراغات صغيرة، أو تصبغات دائمة لا يمكن علاجها بالتبييض. الفينير يقدم حلاً دائمًا لتحسين مظهر الأسنان.
- الفائدة: يوفر مظهراً مثالياً وطبيعياً للأسنان في وقت قصير مع نتائج طويلة الأمد.
- زراعة الأسنان:
- الأنسب لمن: الأشخاص الذين فقدوا سنًا أو أكثر ويحتاجون إلى بديل دائم للأسنان المفقودة. الزراعة تعوض الأسنان بشكل كامل وتحسن من وظائف الفم.
- الفائدة: حل طويل الأمد، يعيد وظيفة ومظهر الأسنان بشكل كامل.
الخلاصة:
- إذا كان العميل يرغب في تحسين لون الأسنان فقط، التبييض هو الخيار الأنسب.
- إذا كان العميل بحاجة لتحسين شكل الأسنان وتناسقها، الفينير هو الأفضل.
- إذا كان هناك فقدان للأسنان، فالزراعة هي الخيار الأنسب لتعويض الأسنان بشكل دائم.
أضرار تبييض الأسنان بالمنزل
- من أكتر المشاكل شيوعًا مع التبييض المنزلي هو زيادة حساسية الأسنان، وبتزيد عند تناول الأطعمة أو المشروبات الباردة أو الساخنة.
- ممكن تسبب تهيج اللثة عند استخدامه بشكل غير صحيح، وهذا يسبب احمرار، تورم، أو حتى نزيف في اللثة.
- يؤدي إلى تآكل طبقة المينا، وده بيزيد من خطر التسوس وحساسية الأسنان، وتآكلها بيؤدي إلى مشاكل صحية أكبر على المدى الطويل.
- استخدام منتجات غير موثوقة ممكن يؤدي إلى تلف دائم في الأسنان أو اللثة.
- مش مناسب لكل حالات التصبغ. مثلاً، التصبغات الناتجة عن مشاكل في العصب أو التسوس.
- التبييض المنزلي غالبًا بيدي نتائج أقل وضوحًا وبتحتاج وقت أطول لتحقيق البياض المطلوب.
أفضل عيادات أسنان في القاهره
- 6 أكتوبر :6 أكتوبر، دولفين مول، الدور الثاني
- التجمع الخامس : التجمع الخامس، ميديكال بارك بريميير، الدور الرابع
- مدينة نصر : مدينة نصر، مكرم عبيد، 78 عمارة الاسيوطى، الدور الثالث
- المعادي : المعادي، 7/2 شارع النصر، المعادي الجديدة، فوق كافيه سيلانترو
- مصر الجديدة : 61 شارع ابراهيم اللقاني – امام سينما روكسى – الدور الثالث – مصر الجديدة
- المهندسين : المهندسين، 5 شارع جامعة الدول، ميدان سفنكس، بجوار مول الكمبيوتر ، الجيزة