يهتم مركز كيور بتقديم أفضل دكتور اسنان في مصر الجديدة وذلك ضمن نخبة متميزة من أخصائيين تجميل وزراعة الأسنان أصحاب المهارة العالية والاحترافية الواسعة، هذا بالإضافة إلى تميز عيادتنا باستخدام أحدث التقنيات والأدوات والأجهزة الحديثة التي تتمتع بأعلى قدر من الدقة.
نحرص على تقديم مستوى خدمة طبية بمعايير عالمية لتلبية كافة احتياجات العملاء الصحية بأعلى درجات المهنية وأقل تكلفة مالية، هذا بالإضافة إلى انتشار العديد من فروعنا داخل جميع أنحاء جمهورية مصر العربية.
مميزات دكاتره أسنان عيادات كيور
أهم ما يتميز به دكاتره أسنان عيادات كيور الجدية الكاملة في التعامل مع مختلف أنواع الحالات الصحية، هذا بالإضافة إلى التالي:
- يقدم مركز كيور أفضل دكتور اسنان فى مصر الجديدة قادر على إتقان كل خطوة من خطوات زراعة وفينير وعلاج الأسنان بدقة نتيجة لسنوات من الخبرة.
- يحمل جميع الأطباء شهادات طبية معتمدة من أفضل الجامعات.
- جميع الأطباء معتمدين من قبل نقابة الأطباء المصرية، إضافة إلى كونهم معتمدين من بعض الهيئات الطبية العالمية.
- يمتلك دكاتره اسنان عيادات كيور الخبرة الكافية والمهارة المطلوبة للتعرف على كافة أنواع الحالات المرضية وتحديد طريقة العلاج المناسبة لك.
- يحصل أطبائنا على تقييم إيجابي من قبل المرضى بشكل يظهر مدى رضاهم عن الخدمة المقدمة.
خدمات عيادات كيور
تعدد ما يقدمه مركز كيور من خدمات والتي تتمثل في توفير أفضل دكتور اسنان فى مصر الجديدة القادر على منح ما يلي من خدمات طبية كاملة:
1- زراعة الأسنان
زراعة الأسنان الفوريه بعد الخلع هو من افضل انواع زراعة الاسنان والتي تتم بأحدث الأجهزة والتقنيات العالمية.

2- تقويم الأسنان
تعديل شكل أسنانك و الحصول علي اسنان متناسقه كأبتسامة هوليوود والذي يتم من خلال إشراف الأطباء المتخصصين.

3- تجميل الأسنان
والذي يضمن الحصول على مظهر جمالي رائع ويشمل كراون وفينير الأسنان والتبييض وتوينكل الأسنان.

4- علاج عصب الأسنان
علاج جذر الأسنان بشكل يمنح الراحة التامة من الألم المصاحب له.

5- حشوات الأسنان
والتي تعد الحل المثالي في علاج تسوس الأسنان وعودة البنية السليمة لها.

أفضل دكتور اسنان فى مصر الجديدة
يضم مركزنا أفضل دكتور اسنان فى مصر الجديدة وهو دكتور خالد ماهر وفريق طبي كامل يتضمن أكثر من 100 دكتور نتيجة لما يتمتعون به من مميزات هي التالي:
- الاهتمام بالاستماع الجيد لما يشكو منه المريض.
- العمل على احترام وتفهم مشاعر المريض وبث الطمأنينة له.
- إتقان كل ما يقوم به من مهام بشكل احترافي يضمن التخلص من المشكلة الموجودة نهائيًا.
- الحرص على الاطلاع واستخدام كل الوسائل الطبية الحديثة.
- تقديم أفضل الأسعار لكل الخدمات الصحية التي يرغب بها المريض.
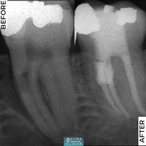
حالات عيادات كيور لزراعة الأسنان
نستعرض أهم الحالات التي تتم معالجتها داخل عيادات كيور لزراعة الاسنان والتي تتم بأيدي أفضل دكتور اسنان فى مصر الجديدة لدينا كما في التالي:
- علاج فقدان سن إثر حادثة مما ترتب عليه توفير طريقة العلاج بزراعة الأسنان الفورية.
- كان المريض يشتكي من حساسية وألم شديد في الضرس وتم علاج عصب السن المتضرر وعمل حشو تجميلي له.
- زراعة الاسنان وهو الحل الدائم والمرغوب فيه عند الرغبة في استبدال ما تم فقده من اسنان.
- كراون الاسنان أو ما يطلق عليه تيجان الاسنان والتي يتم الاعتماد عليها في حالة تلف الاسنان.
- فينير الاسنان وتعد الحل التجميلي الذي تتم الاستعانة به للحصول على أسنان ذات مظهر يخلو من العيوب غير المرغوب فيها، حيث أنه عبارة عن قشور رقيقة يتم وضعها لتغطية منطقة الاسنان الأمامية بغرض الحصول على ابتسامة هوليود.
تجربتي مع زراعة الأسنان د. خالد ماهر

يحصل مركز كيور في العموم و د. خالد ماهر بشكل خاص آراء وتقييمات إيجابية كونه أفضل دكتور اسنان فى مصر الجديدة و القاهره في مجال زراعة الأسنان.
تتمثل هذه الآراء في تجربة المرضى وزوار المركز التي تعكس مدى الرضا الكبير فيما يتم تقديمه من خدمات طبية بشكل متميز، حيث يتم الحصول على كافة الإجراءات الطبية اللازمة والمناسبة مع كل حالة مرضية على حدا.
أهم الأسباب التي تدفعك إلى التفكير في زراعة الأسنان
توجد عدة أسباب من شأنها الدفع إلى التفكير في زراعة الأسنان وهو ما نهتم بتقديمه في التالي مع توصية كاملة بالتعامل مع أفضل دكتور اسنان فى مصر الجديدة فور ظهور أي من هذه الأسباب:
- فقد سن أو أكثر.
- عدم القدرة على استخدام طقم الأسنان.
- عند الرغبة في تحسين النطق والكلام.
- حال المعاناة من أي حالة مرضية من شأنها تقليل أو انعدام فرصة تحسن الاسنان بصورة طبيعية.
خطوات زراعة الأسنان في عياداتنا
أهم خطوات زراعة الأسنان في عياداتنا هي الحصول على أفضل دكتور اسنان فى مصر الجديدة للقيام بها، هذا بالإضافة إلى التالي:
- يتم تقييم حالة الفم من قبل دكتور استشاري من عيادات كيور.
- التخلص من الأسنان التالفة.
- تثبيت غرسة التيتانيوم داخل عظام الفك في نفس المكان الخاص بالضرس الذي تم خلعه.
- تتراوح مدة بقاء هذه الغرسة ما بين 2 إلى 6 أشهر لضمان الحصول على لتئام تام لعظام الفك معها.
- يلي ذلك تثبيت دعامة للربط ما بين الغرسة وتاج السن.
- التأكد من اختبار كل من الشكل والمقاس المناسب للتاج أو الجسر إضافة إلى التحقق من جودة المظهر النهائي للسن.
فروع عيادات كيور للأسنان في مصر
يحرص مركز كيور على توفير العديد من فروعه المميزة داخل جميع المحافظات والأماكن داخل جمهورية مصر العربية وأهمها التالي:
-
- المهندسين :المهندسين، 5 شارع جامعة الدول، ميدان سفنكس، بجوار مول الكمبيوتر ، الجيزة
- مصر الجديدة :61 شارع ابراهيم اللقاني امام سينما روكسى الدور الثالث مصر الجديدة
- المعادي : المعادي، 7/2 شارع النصر، المعادي الجديدة، فوق كافيه سيلانترو
- التجمع الخامس : التجمع الخامس، ميديكال بارك بريميير، الدور الرابع
- 6 أكتوبر :6 أكتوبر، دولفين مول، الدور الثاني
- مدينة نصر :مدينة نصر، مكرم عبيد، 78 عمارة الاسيوطى، الدور الثالث
أنواع أجهزة الأسنان
نهتم داخل مركز كيور باستخدام أحدث أنواع أجهزة الأسنان والتي تتمثل في أدوات الفحص و التشخيص ومنها:
- جهاز الزووم لتبييض الأسنان ويعمل على جميع الأسنان مرة واحدة بحوالي 8 درجات أفتح عن الطبيعي.
- جهاز تقويم الأسنان الانفزلاين ويمتاز بكونه شفاف ويتكون من مادة بلاستيكية حرارية.
عند الرغبة في التعامل مع أفضل دكتور اسنان فى مصر الجديدة يجب الاتصال المباشر بمركز كيور والذي يعد الوجهة الرئيسية للحصول على أنسب طرق الرعاية الصحية باحترافية عالية وتكلفة قليلة.
اسئله شائعه
-
- من هو أشهر طبيب أسنان في مصر؟ أشهر طبيب أسنان في مصر هو دكتور خالد ماهر والذي يعد أفضل دكتور اسنان فى مصر الجديدة.
- ما هو أفضل مركز طب أسنان في مصر؟ مركز كيور للأسنان هو افضل مركز لطب الأسنان في مصر حيث نوفر كل عوامل الراحه لك من سعر و خبره و سرعه و مهاره في تجميل و زراعة الأسنان للوصول لأبتسامه هوليود.
- لماذا تختار أطباء كيور؟ يتم اختيار أطباء كيور لأنهم أفضل المتخصصين في هذا المجال.
- ليه عيادات كيور أفضل عيادات في القاهرة؟ تعد عيادات كيور أفضل عيادات في القاهرة لتمتعها بالخبرة الواسعة والاحترافية والدقة.
- هل الأفضل زراعة الأسنان أفضل أم التركيب؟ زراعة الأسنان الأفضل في تعويض فقدان الأسنان و لاكن اذا كانت الأسنان مكسوره او بها تسوس او غير متناسقه فالأفضل هو الفينير .
- ما هي أنواع زراعة الأسنان واسعارها؟ تتعدد أنواع زراعة الأسنان واسعارها مابين الكوري والألماني، ويحرص مركز كيور على تقديم أفضل الأسعار لها.
- ما الأفضل الزراعة الفورية أم الزراعة التقليدية؟ الزراعه الفوريه تكون الأنسب عندما يكون السن موجوده او تم فقدانه حديثا بسبب وجود نسبه عظم كافيه اما الزراعه التقليديه تكون الأنسب عند فقدان الأسنان من فتره بعيده .
- كيف تزرع أسنان في يوم واحد؟ تتم زراعة الأسنان في يوم واحد من خلال الزراعه الفوريه للأسنان مع دكتور خالد ماهر اخصائي جراحه و تجميل الأسنان.